(云南省西双版纳州景洪市人民医院超声科 云南西双版纳 666100)[中图分类号]R4[文献标识码]A文章编号:
病史:患者,女,28岁,孕3产1,人工流产1次。患者停经36天,停经后无明显恶心、呕吐早孕反应,自测尿HCG阳性。于2014年09月25日13点左右无明显诱因出现下腹隐痛不适,无阴道流血,未引起重视。约17点左右感腹痛加重,伴肛门坠胀感、头昏,无恶心、呕吐、晕厥,来我院急诊科就诊。实验室检查:血HCG为18671IU/L,孕酮为:26.65ng/ml 。临床诊断:腹痛待诊:异位妊娠?先兆流产?
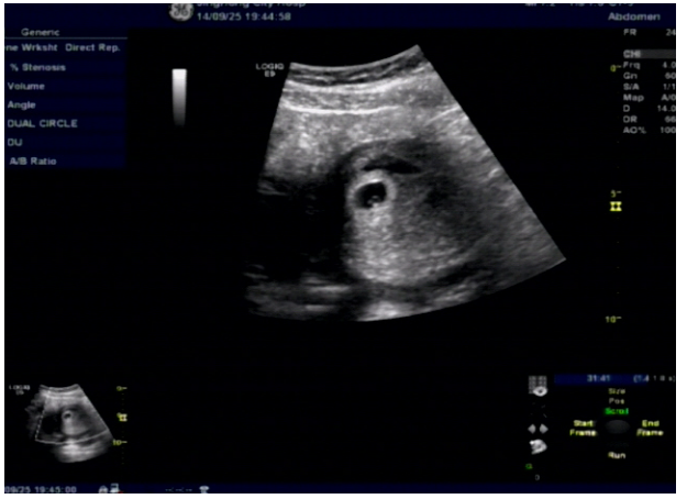
常规腹部及阴道超声:仪器:GE LOGIQ E9彩超:子宫形态大小正常,包膜完整, 实质回声不均匀,宫腔内可见一大小约:1.2*1.0cm的无回声。其内可见卵黄囊声像,未见胚芽组织及原始心管搏动,妊娠囊周围可见不规则的液性暗区。
双侧卵巢可见,于左侧卵巢旁可见一大小约:7.0*2.7cm混合回声,内见妊娠囊回声,大小约:1.0*1.0cm,其内可见卵黄囊声像,未见胚芽组织及原始心管搏动。
子宫直肠凹及膀胱直肠凹可见不规则的液性暗区,最深约:2.3cm。
超声影像采集图:
1.腹部超声图像
.png)
2.阴道超声图像:
.png)
超声诊断:1.宫内早孕。2.左侧卵巢旁混合回声:提示异位妊娠(可见卵黄囊声像)。3.盆腔少量积血。
开腹探查术中所见:盆腔内有暗红色不凝血及血凝块约300ml,吸净。查子宫前位,饱满,表面光滑,未见肿瘤突起,活动可。左侧输卵管壶腹部呈紫兰色,增粗约4*3cm,伞端活动性出血,双侧卵巢、右侧输卵管外观未见异常;患者改膀胱截石位,常规消毒后,用吸头吸出宫内组织约15g,术后探查见大小约:0.5*1cm孕囊。术后诊断:左侧输卵管妊娠(流产型),人流术后。
送组织病检镜检结果:送检左侧输卵管镜下见输卵管粘膜固有膜明显疏松,水肿及充血,管壁纤维组织增生,部分区域疏松水肿水肿及充血、出血,散在淋巴细胞浆细胞浸润。另见大量绒毛膜组织及滋养叶细胞,细胞无恶性改变。送检宫腔诶组织镜下见大量绒毛膜组织及滋养叶细胞,细胞无恶性改变。病理诊断:1.左侧输卵管慢性输卵管炎伴输卵管妊娠。2.子宫腔符合宫内早孕。
讨论:宫内宫外同时妊娠,也称复合妊娠[1]。是指宫腔内妊娠与异位妊娠同时存在的一种病理妊娠疾病,而异位妊娠破裂并发宫内妊娠及其罕见,发病率为三万分之一[2]。复合妊娠临床表现兼有宫腔内妊娠及异位妊娠特征,辅助检查有血HCG、B超、妇检、阴道后穹窿穿刺等,但首选B超。一般情况下,宫内妊娠的超声诊断早于宫外妊娠1周左右,声像图上比宫外妊娠容易显示,经B超提示宫内孕或宫外妊娠后,很少会考虑到并发妊娠的可能,因此对本病的认识不足是误诊、漏诊的主要原因,要对该病引起足够的重视。本人在对该患者常规妇科经腹部扫查时,膀胱充盈差,在宫腔内可见妊娠囊及卵黄囊声像,妊娠囊周围可见不规则的液性暗区,双附件区显示不清,可诊断为宫内早孕。由于患者下腹疼痛特别厉害,为了查明疼痛原因,扩大盆腔及腹腔扫查范围,排除是否有其它疾病引起的疼痛,超声扫查见膀胱直肠凹及子宫直肠凹可见液性暗区,考虑是否是1.疤痕子宫妊娠破裂?2.黄体破裂?3腹部空腔脏器穿孔?询问该患者是否要保留此小孩,患者要求自动放弃妊娠,为排查液性暗区的来源,征得患者同意,改做阴道超声检查。发现宫腔内及左侧卵巢旁均可见妊娠囊及卵黄囊声像,未见明显的胚芽组织及心管搏动。结合腹部及阴道超声图像所见,超声诊断为:1.宫内早孕;2.左侧卵巢旁混合回声:提示异位妊娠(可见卵黄囊声像);3.盆腔少量积血。因超声诊断及时、准确[3]。为临床医生提供确诊的临床依据,避免漏诊、误诊,使宫外妊娠得到正确的处理,防止了腹腔大出血的发生,挽救了病人的生命。
参考文献:
[1] 李继忠,韩凤英,孙倩倩,等.宫外妊娠破裂合并宫内妊娠彩超诊断及临床[J].中国实用医药,2012,07(8):122-123.
[2] 曾功君,马晓梅,区文财,等.超声在妊娠黄体囊肿出血中的诊断价值[J].临床超声医学杂志,2008,10(11):768-769.
[3] 陶庆梅.经腹超声对异位妊娠的诊断价值[J].南华大学学报(医学版),2008,36(5):674-675.
收稿日期:2015-11-11
论文作者:邓志兰
论文发表刊物:《健康文摘》2015年12期
论文发表时间:2016/4/27
标签:超声论文; 宫内论文; 卵黄论文; 声像论文; 输卵管论文; 卵巢论文; 回声论文; 《健康文摘》2015年12期论文;
