山东省临沂市妇女儿童医院超声诊断科 山东临沂 276001
[摘要] 目的 制定胎儿腹部囊肿的超声评估指标,包括囊肿位置、毗邻、数目、大小变化、形态、张力、囊壁厚度、囊壁连续性、囊内回声及活动度,并探讨应用超声评估指标诊断胎儿腹部囊肿的价值。方法 将超声检查人员分成常规组和评估组,常规组按常规方法超声检查胎儿腹部囊肿,评估组参照胎儿腹部囊肿评估指标进行超声检查,采用双盲法检查胎儿腹部囊肿65例,包括胎儿胆总管囊肿、小肠重复畸形、肠系膜囊肿、大网膜囊肿、卵巢囊肿,对其超声图像进行分析,总结各种胎儿腹部囊肿的超声图像特征,从而对超声评估指标诊断胎儿腹部囊肿价值作出评价。结果 本组65例胎儿腹部囊肿,其中,胆总管囊肿17例,小肠重复畸形9例,肠系膜囊肿7例,大网膜囊肿2例,卵巢囊肿30例。分别经后期复查、其他影像学检查、产后检查、手术或引产解剖等得以明确诊断。常规组,超声诊断正确44例,诊断为腹部囊肿13例,误诊6例,漏诊2例。超声正确诊断率67.69%,诊断不明确占20.00%,误诊、漏诊占12.31%。评估组,超声诊断正确59例,诊断为腹部囊肿2例,误诊3例,漏诊1例。超声正确诊断率90.77%,诊断不明确占3.08%,误诊、漏诊占6.15%。评估组超声正确诊断率显著高于常规组,P<0.01,差异有统计学意义。结论 超声评估指标的应用,更新了超声检查胎儿腹部囊肿的思路,由于评估内容更为全面、系统、规范,从而丰富了超声检查信息,使诊断结论更为可靠,它有助于减少诊断不明确及误诊情况,为胎儿腹部囊肿的超声诊断,提供了一个具有重要临床价值的方法。
[关键词] 胎儿 超声 评估指标 腹部囊肿
[Abstract] Purpose To set Ultrasound assessment index of fetal abdominal cysts, including cystic mass position, adjacent, number, size, shape, tension, thickness of cyst wall,cyst wall continuity,cyst internal echo and activity degree,and also discuss the diagnosis value of ultrasound assessment indexes in fetal abdominal cyst. Methods Ultrasound department staffs were divided into routine group and evaluation group. The routine group was examined by conventional method of ultrasound examination of fetal abdominal cyst. Evaluation group was examined by ultrasound with reference to fetal abdominal cysts assessment indexes. 65 cases of fetal abdominal cysts were examined by Double blind method,including fetus choledochal cysts ,duplication of the small intestine ,mesenteric cyst,greater retinal cyst,ovarian cyst. Ultrasound images were analyzed, summed up the ultrasonic image features of various fetal abdominal cysts, and assessed the diagnosis value of ultrasound assessment indexes in fetal abdominal cysts. Results There were 65 cases fetus ultrasound fetal abdominal cyst in the group, including 17 cases of choledochal cysts, 9 cases of duplication of the small intestine,7 cases of mesenteric cyst,2 cases of greater retinal cyst, 30 cases of ovarian cyst. Through the late reexamine, other imaging examinations, postpartum check, operation or Induced after labor autopsy and so on, these cases have also been diagnosed. In the routine group, 44 cases were diagnosed correctly by ultrasound, 13 cases were diagnosed as abdominal cysts, 6 cases were misdiagnosed and 2 cases were missed diagnosis. The correct diagnosis rate of ultrasound was 67.69%, the unclear diagnosis rate was 20%, misdiagnosis and missed diagnosis rate were 12.31%. In the evaluation group, 59 cases were diagnosed correctly by ultrasound, 2 cases were diagnosed as abdominal cysts, 3 cases were misdiagnosed and 1 cases were missed diagnosis. The correct diagnosis rate of ultrasound was 90.77%, the unclear diagnosis rate was 3.08%, misdiagnosis and missed diagnosis rate were 6.15%. The rate of correct diagnosis in the evaluation group was significantly higher than that in the routine group, P<0.01. There was a significant difference. Conclusion The application of ultrasound assessment index is a new idea of ultrasound examination of fetal abdominal cysts. Because of the more comprehensive, systematic, standardized content of the assessment, it will enrich the ultrasonic inspection information and make the diagnosis result more reliable. It is helpful to reduce unclear diagnosis and misdiagnosis. It provides an important clinical value for ultrasound diagnosis of fetal abdominal cyst.
[Keywords] Fetus;Ultrasound;Evaluation indexes;Abdominal cystic mass
胎儿腹部囊肿种类繁多,由于囊肿可来源于消化、泌尿生殖系统以及腹腔、腹膜后等部位,由于囊肿来源不定、超声图像复杂各异,因而致使超声诊断困难[1-3],或部分胎儿腹部囊肿需要到婴儿时期方得以诊断[4]。为了能够系统规范地分析、准确可靠地诊断胎儿腹部囊肿,我们制定了胎儿腹部囊肿的超声评估指标,并结合65例胎儿腹部囊肿病例分析探讨其临床实用价值。
1 资料与方法
1.1 一般资料 选择2010年1月至2016年4月,在我院孕期超声检查的65例胎儿腹部囊肿,包括胎儿胆总管囊肿、小肠重复畸形、肠系膜囊肿、大网膜囊肿、卵巢囊肿,作为研究对象。
65例胎儿腹部囊肿病例,孕妇年龄22~39岁,平均25岁,妊娠17~40周,初产妇58例,经产妇7例。
1.2 仪器与方法 超声诊断仪为GE Logiq E9、GE Volusoiv E8等,探头频率3.0~5.0HMz。
所有孕妇均进行常规产前超声检查以及生理指标检测。对胎儿腹部囊肿,进行重点检查。
超声检查人员分成两组,①常规组,行常规产前检查;②评估组,参照胎儿腹部囊肿评估指标进行检查,内容包括囊肿位置、毗邻、数目、大小变化、形态、张力、囊壁厚度、囊壁连续性、囊内回声及活动度。
两组人员及检查方法不交叉,采用双盲法检查。一组超声检出胎儿腹部囊肿,做出诊断后,转交另一组检查。评估组最后负责将两组检查结果对比,并与后期复查、其他影像学检查、产后复查、手术或引产解剖结果等对照,最后综合分析。
1.3 统计学分析 应用SPSS 11.5统计学软件对常规组和评估组数据进行统计学分析。P<0.01为差异有统计学意义。
2 结果
本组65例胎儿腹部囊肿中,胆总管囊肿17例,小肠重复畸形9例,肠系膜囊肿7例,大网膜囊肿2例,卵巢囊肿30例。
常规组超声检查结果:囊肿位于上腹18例,中腹19例,下腹28例;呈圆形或类圆形37例,呈长圆形或椭圆形22例,不规则形6例;壁厚30例,壁薄35例;囊内透声良好55例,透声差10例;有活动度者18例,较为固定者47例。
超声诊断为胎儿胆总管囊肿15例,小肠重复畸形6例,肠系膜囊肿2例,卵巢囊肿21例,诊断为腹囊性肿块19例,未发现囊肿2例。
65例胎儿腹部囊肿,超声诊断正确44例,诊断为腹部囊肿13例,误诊6例,漏诊2例。超声正确诊断率67.69%,诊断不明确占20.00%,误、漏诊占12.31%。
评估组超声检查结果:胆总管囊肿17例。位于右上腹17例;均紧邻肝脏,后方为门静脉,与胆管或胆囊相通15例,未见与胆管或胆囊相通2例;单发17例;15例复查者中,略增大6例;椭圆形13例,长圆形4例;较低张力17例;囊壁较厚17例;囊壁不连续15例,未见明显囊壁中断2例;囊内为无回声17例;未见囊肿活动17例(图1)。
.png)
小肠重复畸形9例。位于上腹1例,中腹8例;周围为小肠9例,与伴行肠管有共同血管4例;单发7例,多发2例;6例复查病例大小变化不大;呈圆形7例、椭圆形1例、管状1例;低或无张力9例;囊壁较厚9例,类似肠壁结构6例;囊壁回声连续8例,似与肠管官腔连通连1例;囊内呈无回声7例,透声差2例;有活动度9例,见囊壁类似于肠管样蠕动3例(图2)。

肠系膜囊肿7例。位于上中腹7例;与肠管关系密切7例;单发5例,多发2例;复查囊肿大小均无变化;圆形1例、椭圆形1例、不规则5例;较低或无张力7例;囊壁薄且欠清晰7例;囊壁连续7例;囊内呈无回声5例,透声差2例,内有纤细分隔2例;囊肿移动或变形3例,未见活动4例(图3)。

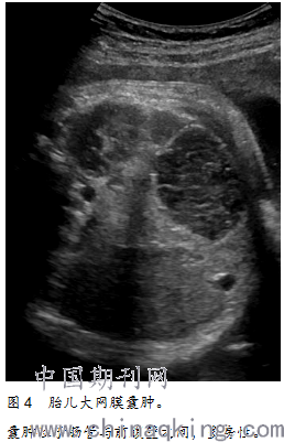
大网膜囊肿2例。位于中上腹2例;前为腹壁、后为肠管2例;单发2例;2例多次复查,大小无明显变化;类圆形1例、不规则形1例;张力较低2例;囊壁薄且轮廓不清楚2例;囊壁连续2例;囊内透声差,呈不均匀低回声,有较多纤细分隔1例;见轻微移动和变形2例(图4)。

卵巢囊肿30例。位于下腹28例,中上腹2例;于膀胱一侧28例,膀胱上方2例;单发27例,多发3例;复查囊肿增大3例,变小6例,消失1例,其余无变化;圆形28例、椭圆形2例;张力高30例;囊壁薄26例,较厚4例;囊壁连续30例;囊内呈无回声26例,有分隔2例,透声差4例;超声复查见位置有变化4例,无变化26例(图5)。

超声诊断为胎儿胆总管囊肿17例,小肠重复畸形9例,肠系膜囊肿5例,卵巢囊肿28例,大网膜囊肿2例,卵巢囊肿诊断为肠重复畸形2例,肠系膜囊肿诊断为腹囊性肿块1例,初次检查漏诊肠系膜囊肿1例。
65例胎儿腹部囊肿,超声诊断正确59例,诊断为腹部囊肿2例,误诊3例,漏诊1例。超声正确诊断率90.77%,诊断不明确占3.08%,误、漏诊占6.15%。
结果显示,评估组超声正确诊断率显著高于常规组,P<0.01,差异有统计学意义。
3 讨论
早期发现与明确诊断,对于胎儿腹部囊肿预后的预测、早期干预、产后治疗措施的制定,特别是避免对于预后的误判而导致不必要的终止妊娠等,都具有非常重要意义[2,5-12]。
系统分析与评估,是胎儿腹部囊肿超声诊断与鉴别诊断的基础,是对囊肿进行定性诊断的关键。针对提高胎儿腹部囊肿正确诊断率,我们制定了评估指标,内容包括囊肿位置、毗邻、数目、大小变化、形态、张力、囊壁厚度、囊壁连续性、囊内回声及活动度等。通过与常规超声检查65例胎儿腹部囊肿结果双盲法对照,验证了评估指标法参与诊断的价值。结果显示,应用评估指标法检查胎儿腹部囊肿,超声正确诊断率(90.77%)显著高于常规法检查(67.69%),P<0.01。
对65例胎儿腹部囊肿超声图像研究结果表明,各种囊肿均有其特征表现:①胎儿胆总管囊肿:位于门静脉前方,椭圆形或纺锤状,与胆管或胆囊相通;②胎儿小肠重复畸形:位于中上腹部,圆形、椭圆形或长圆形、管状,壁厚,囊壁肠管样蠕动;③胎儿小肠系膜囊肿:位于小肠分布区,多房性,壁薄,无张力,可移动或变形;④胎儿大网膜囊肿:位于肠管与前腹壁之间,多房性,壁薄,无张力,可移动或变形;⑤胎儿卵巢囊肿:女性胎儿,位于膀胱一侧,形态规则,圆形或椭圆形。通过对各种胎儿腹部囊肿超声图像特征分析,从而总结出超声评估指标与各种胎儿腹部囊肿关系,见表1。

超声评估指标的应用,更新了胎儿腹部囊肿超声诊断的思路,评估内容的增加,丰富了超声检查信息,使超声诊断结论更为可靠,诊断不明确以及误诊情况大大减少,它为胎儿腹部囊肿的超声诊断,提供了一个具有重要临床价值的参照标准和诊断方法。
在胎儿腹部囊肿超声检查中,欲对胎儿腹部囊肿有一个准确客观的评估,应该注意以下问题:①准确的定位是正确诊断的关键[13,14]。②多切面观察有利于全面评估。③手法技巧的应用有助于发现特征。④充分利用超声仪器的有关性能,可增加囊肿的显示。
[参考文献]
[1] 周佳梅,解左平. 胎儿卵巢囊肿的超声诊断及临床意义.中国优生与遗传杂志,2012,20(12):107.
[2] 翁若鹏,胡文胜,蔡淑萍,等.16例胎儿胆总管囊肿的产前诊断及预后评估.中国产前诊断杂志(电子版),2014,6(2):6-9.
[3] 申古修,王子艳,郝多多. 产前超声筛查对胎儿消化道畸形的诊断价值.中国医药指南,2014,12(25):157-158.
[4] 胡列榛,夏焙,于洪奎,等.小儿消化道重复畸形超声诊断价值.中华医学超声杂志(电子版),2011,8(10):2196-2201.
[5] 要迎春,栗河舟,郭丽亚.超声产前诊断29例胎儿胆总管囊肿的观察分析.中国实用医药,2014,9(35):38-39.
[6] 张金辉,周钰坤,张海燕. 胎儿腹腔囊肿32例产前诊断分析.河北医科大学学报,2015,36(8):984-986.
[7] 胡吉梦,刘青,吴晔明,等.产前诊断先天性胆总管囊肿37例临床分析.临床儿科杂志,2013,31(9):858-861.
[8] 冯文玉,崔广和,傅廷亮.胎儿卵巢囊肿的诊断与处理进展.当代医学,2012,18(11):274-275.
[9] 吴虹.产前超声诊断胎儿畸形的处理及预后分析.中国农村卫生事业管理,2011,31(11):1183-1185。
[10] 周佳梅,解左平.胎儿卵巢囊肿的超声诊断及临床意义.中国优生与遗传杂志,2012,20(12):107.
[11] 冯翠竹,马继东,王莹,等.产前诊断胎儿卵巢囊肿的系统管理与生后早期手术治疗.中国新生儿科杂志,2013,28(4):238-240.
[12] 余东海,孙晓毅,冯杰雄,等.儿童肠系膜囊肿和大网膜囊肿临床诊疗分析.临床外科杂志,2011,19(8):565-566.
[13] 熊晓苓,贾立群,王晓曼.儿童肠系膜囊肿及继发病变超声表现.中华医学超声杂志(电子版),2012,9(11):993-998.
[14] 涂长玉.产科超声测量与诊断.济南:山东科学技术出版社,2014.
论文作者:牛清芳 张萍
论文发表刊物:《临床医学教育》2017年9月
论文发表时间:2017/10/27
标签:囊肿论文; 超声论文; 胎儿论文; 腹部论文; 肠系膜论文; 小肠论文; 网膜论文; 《临床医学教育》2017年9月论文;
